CASOS DE ESTUDIO PARA RADIOLOGOS
Lic. Luis Roberto Orozco (1)
Dr. Eric Eduardo Maldonado Muñoz(2)
-
(1) Licenciado en Pedagogía, coordinador página web idesxela.com, Diplomado Resonancia Magnética, Universidad Pontificia Católica de Chile, Docente Universitario.
- (2) Magister en Imágenes Diagnosticas, Magister en educación superior, Coordinador rotación estudiantes de medicina Facultad de Medicina Universidad Mesoamericana, sede Quetzaltenango, área de bio imágenes. Coordinador residencia de radiología Hospital Regional de Occidente, Universidad de San Carlos de Guatemala, Docente Universitario.
ABSCESO EN MUSLO Y OSTEOMIELITIS DE ESCAPULA
THIGH ABSCESS AND SCAPULA OSTEOMYELITIS
PREFACIO
Paciente de 2 años de edad, madre refiere que después de un año de vida inicia con cambios de coloración y aumento de volumen en muslo izquierdo, seis meses después inicia a observar el mismo problema a nivel del hombro izquierdo, por lo que consulta a facultativo, el cual solicita estudio de resonancia de cuerpo entero, enfocado a muslo y hombro izquierdo.
PREFACE
2-year-old patient, mother reports that after one year of life, she began to experience color changes and increased volume in the left thigh. Six months later, she began to observe the same problem at the level of the left shoulder, so she consulted a doctor, which requests a full-body MRI study, focused on the left thigh and shoulder.
PALABRAS CLAVE
Absceso, osteomielitis, muslo, escapula, resonancia
KEYWORDS
Abscess, osteomyelitis, thigh, scapula, MRI
HISTORIA DEL PACIENTE
Paciente nace en hospital nacional, sin ningún problema al momento del parto, madre no refiere problema durante el embarazo, indica que al año de vida inicia con aumento de volumen del muslo izquierdo, observa cambio de coloración en el mismo, seis meses después dichos cambios inician a observarse a nivel del hombro izquierdo. No refiere trauma alguno, ni enfermedad severa que lo afecte en los dos años de vida.
TECNICA EMPLEADA
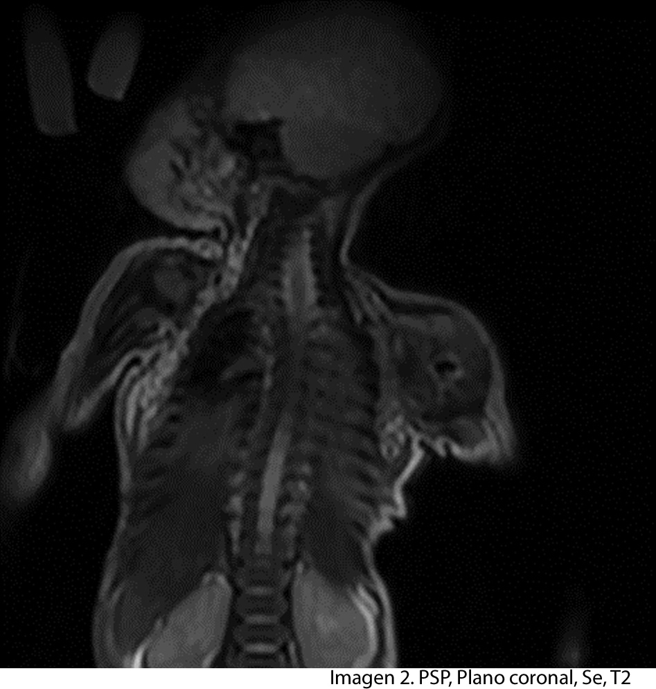
Se realiza estudio de resonancia magnética con un equipo de 1.5 tesla, se aplica protocolo de sedación, se utiliza bobina fase arrays, y se procede a adquirir un PSP, en tres planos, secuencias Se, ponderadas a T1 y T2, se administra medio de contraste por vía I.V.
HALLAZGOS IMAGENOLOGICOS
A nivel del muslo izquierdo se observa una colección bilobulada, en la parte proximal se observa imagen que mide 7.05 x 7.17 cms en el tercio distal se observa imagen que mide 3 x 4.01 cms. En la ponderación T2 la lesión se vuelve hiperintensa y en la ponderación T1 con mdc la lesión se vuelve hipointensa con realce de la periferia, lo que confirma la presencia de absceso.
La diáfisis femoral proximal se ve totalmente destruida, a nivel del hombro izquierdo la cabeza del humero no se observa.
• ABSCESO A NIVEL DEL MUSLO IZQUIERDO
• OSTEOMIELITIS DEL FÉMUR IZQUIERDO
• OSTEOMIELITIS DE LA ESCAPULA Y DEL HÚMERO IZQUIERDO
• ABSCESO A NIVEL DEL MUSLO IZQUIERDO
• OSTEOMIELITIS DEL FÉMUR IZQUIERDO
• OSTEOMIELITIS DE LA ESCAPULA Y DEL HÚMERO IZQUIERDO
La Osteomielitis Aguda se describe como una infección ósea multifacética, común tanto en niños como adultos; progresiva y que ocasiona destrucción inflamatoria, infecciosa e isquémica de los tejidos esqueléticos con infarto óseo, formación de hueso reactivo (involucro) y fistulización. Afecta tanto a hueso como a la medula ósea. La fisiopatología; inicia como una infección en la cavidad medular que se encuentra ocupada según la edad ya sea por la medula ósea roja o amarilla. “El anidamiento de los microorganismos obstruye el lecho capilar y produce isquemia, edema, migración leucocitaria, hiperemia y congestión vascular que a su vez produce un aumento en la presión intramedular creando un círculo vicioso que incrementa la isquemia y la necrosis para finalmente producir un absceso intramedular”.
Este proceso se disemina atravesando la cortical para producir necrosis (secuestro).
Clasificación El lugar de la afectación se determina por los mecanismos de llegada de los gérmenes a los huesos ya sea por vía hematógena, por continuidad con o sin afección vascular y por implantación directa.
• Osteomielitis hematógena
• Osteomielitis aguda
• Osteomielitis consecutivas a infecciones de partes blandas
• Osteomielitis que siguen a heridas traumáticas






