CASOS DE ESTUDIO PARA RADIOLOGOS
ESPONDILITIS ANQUILOSANTE
ANKYLOSING SPONDILITIS
Lic. Luis Roberto Orozco (1)
Dr. Eric Eduardo Maldonado Muñoz(2)
PREFACIO
La espondilitis anquilosante (EA), es una enfermedad autoinmune inflamatoria crónica que afecta principalmente a las articulaciones de la columna vertebral y causa dolor crónico severo, afecta principalmente a las articulaciones de la columna, las articulaciones sacroilíacas y los tejidos blandos adyacentes, como los tendones y los ligamentos. En casos más avanzados, esta inflamación puede dar lugar a fibrosis y calcificación, dando como resultado la pérdida de flexibilidad y la fusión de la columna, asemejándose a un “bambú” con una posición inmóvil. Este caso se enfoca a paciente de 37 años de edad, que manifiesta rigidez y perdida de la linealidad de la columna cervical, encontrando a través del estudio de MRI calcificación de los ligamentos anterior y posterior de la columna cervical, más fusión de vértebras cervicales.
PREFACE
Ankylosing spondylitis (AS) is a chronic inflammatory autoimmune disease that primarily affects the joints of the spine and causes severe chronic pain. It primarily affects the joints of the spine, the sacroiliac joints, and adjacent soft tissues such as tendons. and the ligaments. In more advanced cases, this inflammation can lead to fibrosis and calcification, resulting in loss of flexibility and fusion of the spine, resembling a “bamboo” with an immobile position. This case focuses on a 37-year-old patient, who manifests rigidity and loss of linearity of the cervical spine, finding through the MRI study calcification of the anterior and posterior ligaments of the cervical spine, plus fusion of cervical vertebrae.
PALABRAS CLAVE
Columna cervical, ligamentos, rigidez, espondilitis anquilosante, Resonancia
KEYWORDS
Cervical spine, ligaments, stiffness, ankylosing spondylitis, Resonance
HISTORIA DEL PACIENTE
Paciente de 37 años de edad, no refiere trauma reciente, indica que hace mas o menos dos años inicio con dolor a nivel del cuello, y empezó a notar que el mismo se estaba inclinando hacia el lado izquierdo, esta inclinación ha ido en aumento y no le permite colocar el cuello de forma recta, causándole dolor e incomodidad. Acude a consulta y luego de ser evaluado por facultativo le solicitan estudio de resonancia magnética de columna cervical.

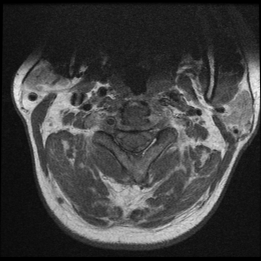
HALLAZGOS IMAGENOLOGICOS
Se observa perdida de la lordosis normal de la columna cervical.
Se observa hipo intensidad del ligamento longitudinal anterior y posterior de la columna cervical, también se observa perdida de la movilidad y rigidez de la misma, los ligamentos interespinosos se ven hipointensos en T2 y en T1, al igual que el pliegue nucal, lo que sugiere calcificación de estas estructuras anatómicas.
Se observa fusión de las vertebras cervicales 5-6 y 6-7, dando la apariencia de bambú.


• Perdida de la lordosis
• Ligamentos espinales anterior, posterior, interespinosos y pliegue nucal calcificados
• Fusión de vertebras cervicales 5-6 y 6-7.
La espondilitis anquilosante (EA) es una artropatía que se encuentra dentro del grupo de artropatías seronegativas (con antígeno reumatoideo negativo), siendo la entidad más común y representativa de ellas. Se caracteriza por inflamación crónica del esqueleto axial, con dolor de espalda de tipo inflamatorio y rigidez progresiva, que también puede involucrar caderas, hombros, articulaciones periféricas y entesis (que corresponden a sitios de inserción de ligamentos, músculos, fascias o cápsulas en un segmento óseo).
Típicamente se manifiesta en pacientes jóvenes que inician su sintomatología entre los 20 y 30 años, que presentan en general buena respuesta a antiinflamatorios no esteroideos. En cuanto a la predilección por sexos, existe gran disparidad de los datos, sin embargo, habitualmente se encuentra una relación H:M de 2:1.
El termino espondilitis se refiere a inflamación de la vértebra o «espondilos» y anquilosante se refiere a compromiso fibrótico o con osificaciones que forman uniones entre articulaciones de la columna, tanto articulaciones facetarias como discos intervertebrales. Estas uniones en un principio son afectadas por un proceso inflamatorio subagudo o crónico, con edema adyacente. Posteriormente, las lesiones erosivas se vuelven inactivas y se produce formación de tejido óseo, que llena el espacio erosionado y forma puentes entre huesos y hacia el extremo del ligamento afectado, creando una nueva entesis.
Estas nuevas entesis tienen una alta actividad metabólica, con abundantes terminales nerviosas y son responsables de los síntomas de características inflamatorias.
Su diagnóstico está basado en la clínica característica de dolor de espalda de tipo inflamatorio, asociado a hallazgos radiológicos de sacroileítis y manifestaciones características en la columna vertebral.
Muchas diferentes lesiones inflamatorias en la columna vertebral pueden ocurrir en la EA. El compromiso puede ser óseo, del disco, de articulaciones sinoviales y/o entesis.
Las lesiones vertebrales llevan en una última instancia a la formación de sindesmófitos y anquilosis.
Las imágenes actuales cumplen un rol fundamental en la evaluación, tanto a nivel de articulaciones sacroilíacas, como en la columna vertebral. Un protocolo adecuado para su detección es de suma importancia para diferenciar estas lesiones y así pesquisar a tiempo esta patología
Hace algunos años, los cambios imagenológicos que orientaban el diagnóstico de EA se basaban principalmente en la radiografía simple, sin embargo, estas alteraciones tardan al menos 5 años en aparecer una vez manifestados los primeros síntomas. Actualmente son reconocidas como las principales alteraciones imagenológicas la espondilitis anterior florida o lesión de Romanus, discitis o lesión de Andersson, anquilosis, sindesmófitos, artritis de articulaciones apofisiarias y costovertebrales, entesitis, lesiones de los ligamentos interespinosos y fracturas por insuficiencia.
Dentro del estudio imagenológico con diferentes técnicas, es importante mencionar que es de utilidad un protocolo específico para espondiloartropatías en el caso de RM, ya que se busca detectar edema de estructuras afectadas, siendo un protocolo útil en la evaluación de la columna vertebral la secuencia ponderada en T1 TSE junto a una secuencia de inversión-recuperación de tiempo corto (STIR). Debe ser empleada una matriz de 512 pixeles, con un grosor de corte de 3 a 4mm, adquirida con un resonador de 1,5Tesla. La administración de gadolinio asociada a secuencias con saturación grasa T1 turbo spin eco se requieren para una mejor evaluación de algunos aspectos, como por ejemplo la entesitis, según la experiencia de algunos autores, al igual que la evaluación de abscesos asociados a la espondilodiscitis séptica, para la evaluación de tejido necrótico, ver la extensión de masa de partes blandas y el realce discal. También son útiles las secuencias STIR, particularmente en la evaluación de articulaciones costovertebrales.
-
(1) Licenciado en Pedagogía, coordinador página web idesxela.com, Diplomado Resonancia Magnética, Universidad Pontificia Católica de Chile, Docente Universitario.
(2) Magister en Imágenes Diagnosticas, Magister en educación superior, Coordinador rotación estudiantes de medicina Facultad de Medicina Universidad Mesoamericana, sede Quetzaltenango, área de bio imágenes. Coordinador residencia de radiología Hospital Regional de Occidente, Universidad de San Carlos de Guatemala, Docente Universitario.






